Abdomen : Case 9

History : A 30-year-old female with weight loss and constipation

 

Which abnormality is not seen in this film?

A. Large bowel dilatation
B. Small bowel dilatation
C. Stomach dilatation
D. Fecal impact
ion

Answer : C. Stomach dilatation is not seen in this film

 

Next question :

1. Is this bowel obstruction?

2. Partial or complete obstruction?

3. Site of obstruction?

4. Cause of this obstruction?

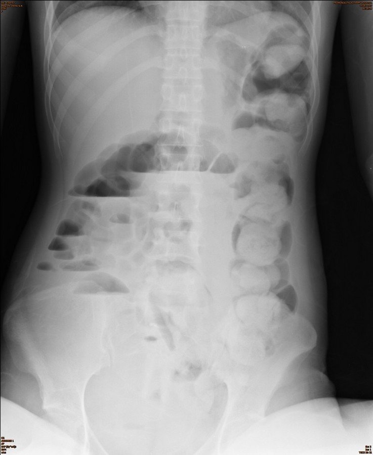
Additional plain film abdomen : upright

Air fluid levels with different height in the same loop of in dilated large bowel and small bowel.

Radiological finding :

  • Colonic dilatation and fecal impaction at left side colon to the level of sigmoid colon
  • Abrupt change of the colonic lumen at rectum
  • Associated small bowel dilatation

Answer 1 : Large bowel obstruction

Answer 2 : Partial obstruction, because can see air in the rectum

Answer 3 : Site of obstruction : Rectum
Answer 4 : Cause of obstruction ?

Gut obstruction :

  • Loops proximal to an obstruction will be dilated
  • Loops distal to an obstruction will be decompressed or airless

Mechanical Large Bowel Obstruction:
Key Feature

  • Dilated colon to point of obstruction
  • Little or no air distal to the obstructive point
  • Associated small bowel dilatation can be found

Mechanical Large Bowel Obstruction:
Causes :

  • Tumor
  • Volvulus
  • Hernia
  • Diverticulitis
  • Intussusception

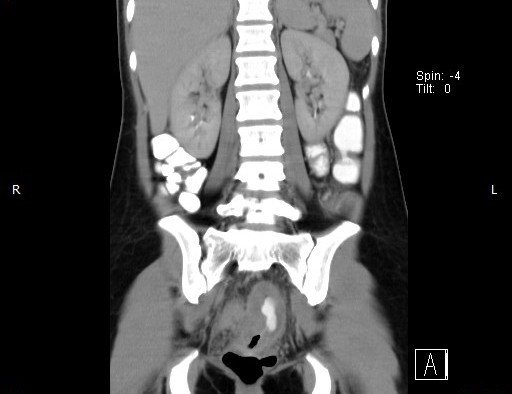
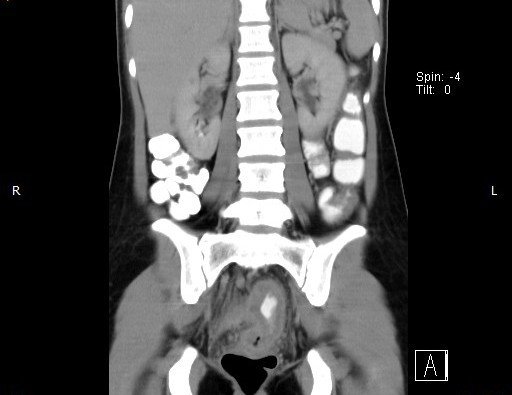
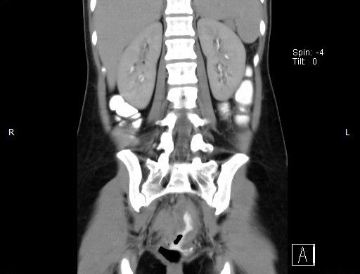
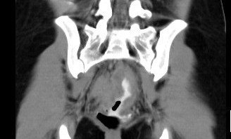
Abdominal CT images

CT finding : Circumferential rectal wall thickening-> Tissue diagnosis -> Rectal cancer

CT finding correlated with plain abdominal radiograph

Abdomen Case 9

By Electronic Learning Abdominal Radiology

Abdomen Case 9

  • 1,915