Abdomen : Case 10

History :  A 55-year-old female with abdominal pain.

What is the positive finding in the plain abdominal radiograph?

A. Large bowel dilatation

B. Small bowel dilatation

C. Stomach dilatation
D. Negative study

Answer : A. Large bowel dilatation



Additional history : Pain at RLQ on physical examination
What is another abnormality?

 

A. Free air
B. Retroperitoneum
air
C. Air in the bowel wall

D. Aerobilia

 

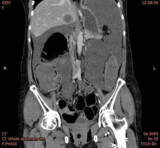
Answer : C. Air in the bowel wall or pneumatosis intestinalis

This case show curvilinear gas in the cecal wall

Pneumatosis Intestinalis

  • Presence of gas in the bowel wall
  • Associated with numerous conditions, ranging from benign to life threatening such as bowel infarction
  • Although pneumatosis coli can be seen on abdominal radiographs, CT is the most sensitive imaging test for identification

Abdominal CT images

Abdomen Case 10

By Electronic Learning Abdominal Radiology

Abdomen Case 10

  • 1,537