Abdomen : Case 3

History :  A 40-year-old female with abdominal discomfort.

What is the abnormality?

A. Negative study
B. Abdominal/Pelvic mass
C. Ascites
D. Small bowel obstruction

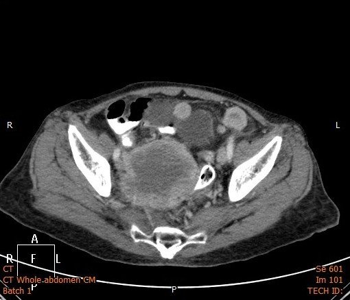
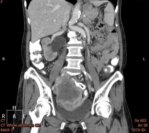
Answer : B. Abdominal/Pelvic mass

  • Occasionally masses of the pelvis are visible on an abdominal X-ray.

  • If large, masses of the pelvis may extend into the abdomen and displace bowel.

  • Investigation with ultrasound and/or CT is required for assessment of a suspected abdominal mass.

Key points : Pelvic masses can displace bowel upwards

Abdominal CT images

Abdomen Case 3

By Electronic Learning Abdominal Radiology

Abdomen Case 3

  • 1,397