Pneumonia
408510095 陳明皓
Physiology
- Cause and mechanism of cough
- other defense mechanism (e.g. sneeze)
Pneumonia
- Definition and classification
- Cause and risk factor
- Pathophysiology
- Diagnosis
Definition
Pneumonias are broadly defined as any infection of the lung parenchyma.
–
Classification
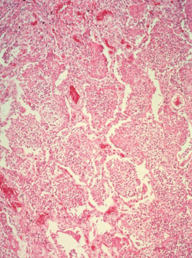
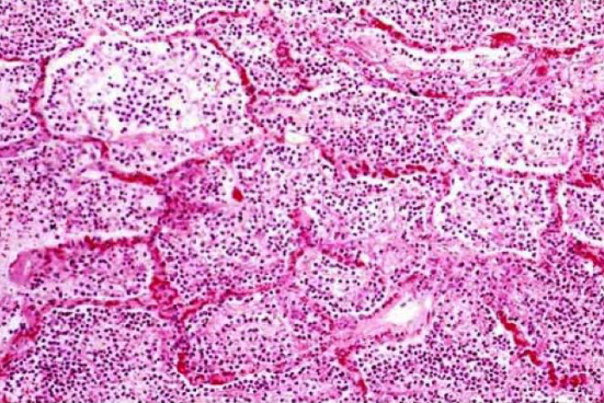
- Bronchopneumonia 支氣管肺炎
- Lobar pneumonia 大葉性肺炎
依發生位置
依syndromes和病原
- Community-Acquired Acute Pneumonia 社區感染急性肺炎
- Community-Acquired Atypical Pneumonia社區感染非典型肺炎
- Nosocomial Pneumonia 院內感染肺炎
- Aspirational Pneumonia 吸入性肺炎
- Chronic Pneumonia
- Necrotizing Pneumonia and Lung Abscess
- Pneumonia in the Immunocompromised Host
- Pulmonary Disease in Human Immunodeficiency Virus Infection
比較


Bronchopneumonia
Lobar pneumonia

Cause & Risk Factors
viral infection
e.g. influenza A, RSV, varicella, parainfluenza. 使防禦功能受損,造成secondary infection
Bronchial Obstruction
氣管阻塞,痰液排除受阻,易導致黏液蓄積
Esophageal disorder
嘔吐、食物嗆出,易導致aspiration pneumonia
Chronic bronchitis, bronchiectasis, cystic fibrosis
結構改變
黏液蓄積
細菌聚集
Drug and alcohol abuse
影響咳嗽能力
Immuno-
deficiency
Pathophysiology

- 正常情況下,氣管以下有免疫系統保護,因此幾乎沒有細菌,口腔和咽喉則有較多細菌。
- microaspiration: unintentional之下吸入少量的回流物質,尤其是咳嗽或一些消化道分泌物的回流。某些情況下因為咳嗽被抑制的關係,這種情況更容易發生,例如:麻醉藥、安眠藥、中風、酒醉、呼吸道問題、免疫或神經方面的問題導致沒辦法咳嗽。
- 可能在睡覺時有病原飄入呼吸道,因為沒感覺到而沒有咳嗽
- 口腔疾病的病人(例如牙周病或蛀牙)得到pneumonia的機率也高一些。
Aspiration and Microaspiration
- 另一種情況是呼吸道本來就有病原菌共生,在人體健康情況下並沒有產生什麼問題。
- 但如果因為chronic bronchitis 或 bronchiectasis等慢性呼吸道疾病,氣管累積很多痰,病菌量變多,當免疫力變差時,就有可能因此肺炎。
- 也可能是身體其他地方的病菌跑到呼吸道來感染(例如劇烈嘔吐造成食道破裂;或是創傷)
- Hematogenous spread: 血行感染(例如:身體其他部位感染,細菌隨血液來到肺部;或是肺部大血管置放導管,發生感染跑到肺部)
Colonization
- 當上呼吸道的 mucociliary transport和cough reflex 都無法順利將病菌排出時,就只剩下最後一關,肺臟的免疫機制,而這會引起下列發炎反應。
- 釋放 IL-1 和 TNF 引起fever
- 釋放 IL-8 和 G-CSF (granulocyte colony-stimulating factor) 之類的chemokines,刺激neutrophils反應,並產生peripheral leukocytosis和膿的分泌
- 當免疫反應不足以壓制過量的病菌時,intra-alveolar exudates 不斷分泌並擴散,最後會導致consolidation
Inflammation

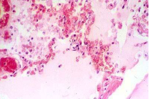
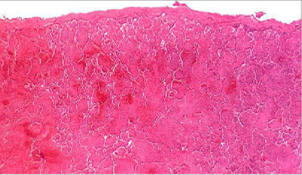
Lobar Pneumonia

Congestion
Red hepatization
Gray hepatization
Resolution






Diagnosis
- 紅血球沉降速率,又稱比爾奈基測試
- 一般而言,紅血球帶負電,彼此之間互斥而保持懸浮。在發炎反應時,因為血纖維蛋白原比例升高,或免疫球蛋白分泌過多,會使紅血球容易結成團狀,導致沉降速率變快
- 正常值:
ESR (Erythrocyte sedimentation rate)
{\displaystyle {\rm {ESR}}\ (mm/hr)\leq {\frac {{\rm {Age}}\ ({\it {in\ years}})+10\ ({\it {if\ female}})}{2}}}
| 年齡 | 20 | 55 | 90 |
|---|---|---|---|
| 男性 | 12 | 20 | 19 |
| 女性 | 18 | 21 | 23 |
- 臨床意義:
- ESR上升:感染性疾病如:肺結核、梅毒;膠原病:類風濕性關節炎、紅斑性狼瘡;急性心肌梗塞、多發性骨癌、甲狀腺低能或高能症、癌症、貧血、白血病。
- ESR下降:多血症、鬱血性心臟衰竭、鐮刀性貧血、低纖維蛋白原血症、過敏症。
ESR (Erythrocyte sedimentation rate)
- C反應蛋白,由肝臟生成的血漿蛋白。會結合在死亡細胞或微生物外膜上的phosphocholine,以活化補體系統。
- 診斷價值:
- 不受賀爾蒙影響
- 急性發炎時上升非常明顯,疾病緩解後又會急劇下降
- 所有人都有CRP反應,小孩比成人少
- 正常值:<1mg/dL
CRP (C-Reactive Protein)
- ESR受到的干擾比CRP多,但影響CRP數值的因素也不少
- 正常來說,如果身體某處發炎,ESR和CRP要一起上升,而某些情況可能其中一者上升一者下降,這時候可能就要由醫生判斷哪種指數和病情的相關性較高。
- 長期ESR和CRP偏高的病人,預後較差。(發炎相關疾病的病人)
ESR和CRP比較
Lung Compliance
Definition:

- 1/3來自於Tissue Force (elastin and collagen fibers)
- 2/3來自於 Surface Force (surface tension of the liquid film)
- 如果要提升compliance,就需要降低這些sources of Elastic Recoil
- Surfactant 的分泌就是一種降低surface force的方式
Elastic Recoil



- Emphysema
Compliance
Compliance
- Pulmonary edema
- Lung atelectasis
- Fibrosis

Mechanical Ventilation
- 呼吸衰竭時的救命裝置
- 維持適當的氧和二氧化碳分壓,並減少病人的肌肉負擔
- 分為正壓或負壓呼吸器、又可分為侵襲性和非侵襲性
- 目前主要都是使用正壓呼吸器,在病程早期優先考慮非侵襲性呼吸器
機械式呼吸輔助

- 在瀕臨呼吸衰竭時,用於防止呼吸衰竭。
- 急性呼吸衰竭早期時,用於預防插管。
- 應該插管,但因故不插管之替代方案。
- 高風險病人脫離呼吸器時,防止拔管失敗。
- 已拔管失敗時,試著防止重插管。
- 禁忌症:呼吸或心跳停止、昏迷、不合作或躁動、嚴重上腸胃道出血、多重器官衰竭、臉部外傷、上呼吸道阻塞、痰多無法自行咳出等。
非侵襲性呼吸器的介入時機
非侵襲性呼吸器面罩的種類

非侵襲性呼吸器面罩的種類

插管和氣切(侵襲性呼吸器)

分為吸氣管路和吐氣管路,分別有控制閥。閥門由微電腦控制,吸氣管路動力來源是壓縮的氣體,會將預設的氧氣濃度混合空氣,送入病人肺部,送入氣體時,呼氣閥為完全緊閉的。吐氣時,吸氣氣流停止,吐氣閥打開,讓病人肺部和大氣相通,藉由elastic recoil將肺部氣體排出體外。呼吸主要是由吐氣閥監測流速、容積、壓力等等。
呼吸器的運作機制
Palette
By minghaochen
Palette
- 147