Body Fluid
— 陳明皓
Body Fluid Compartment


Measurement
Influence Factor
名詞解釋


Tonicity
Depends on the concentration of impermeant solutes.
Fluid Regulation
Edema
Proteinuria
Protein in Urine
〞
Urinary protein excretion is greater than 150 mg per day.
– Proteinuria
〞
Urinary albumin excretion is greater than 30 mg per day.
– Albuminuria



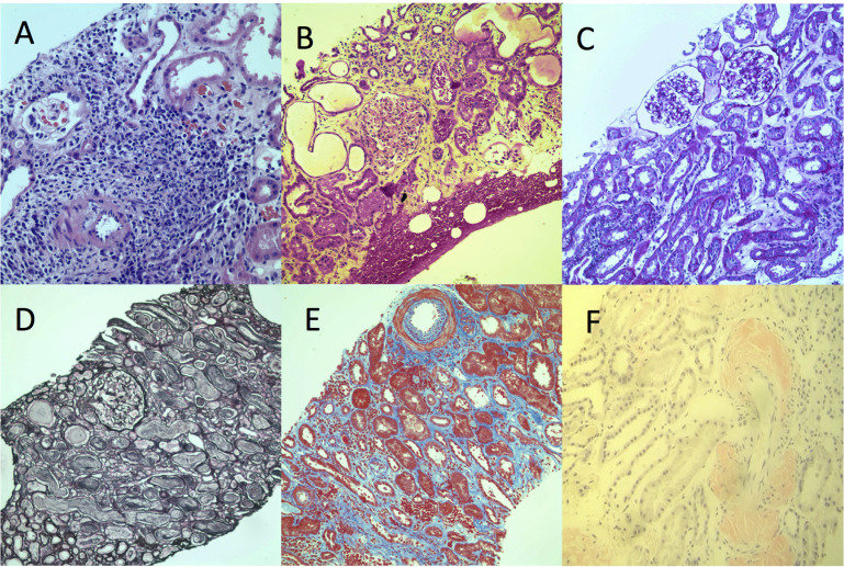
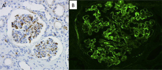
Glomerular Histiology
Renal Corpuscle




Filtration Barrier

Filtration Barrier

Mesangium



Nephrotic Syndrome
Biopsy
Indication

Preparation for Kidney Biopsy

Serif
By minghaochen
Serif
- 141