Diagnostic Rounds 2049

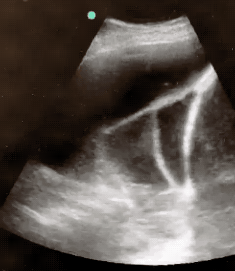
53M smoker, pneumonia resolved, persistant PLEFF

Serum

  • Protein: 70 (64-83)
  • LDH: 200 (<225)

Pleural Fluid (straw coloured)

  • Protein: 50
  • LDH: 300
  • pH: 7.1
  • Glucose: 3.1

Light's Criteria

  • Pleural fluid protein to serum protein ratio >0.5
  • Pleural fluid LDH to serum LDH ratio >0.6
  • Pleural fluid level >2/3 of upper value for serum LDH

 

Other tests:

  • Low glucose and low pH concerning for infection vs malginancy
  • Exudate (local disease) (High protein). Local factors influence the accumulation or clearance of fluid.
    • Malignancy – Lung, breast, pleural.
    • Infection – Pneumonia, empyema, pleuritis, viral disease
    • Autoimmune – Rheumatoid, SLE
    • Vascular – PE
    • Cardiac – Pericarditis, CABG
    • Respiratory – Haemothorax, Chylothorax
    • Abdominal – Subphrenic abscess
  • Transudate (systemic illness) (Low protein <30g). Imbalance between oncotic and hydrostatic pressures
    • Cardiac – Heart Failure
    • Liver – Ascites, Cirrhosis
    • Renal – Glomerulonephritis, Nephrotic syndrome
    • Ovarian – Meigs syndrome
    • Autoimmune – Sarcoid
    • Thyroid – Myxoedema

When do they need a chest tube?

When to chest tube?

  • drainage frank pus/cloudy

  • positive gram stain or culture

  • pH <7.2 (if unavailable use glucose <3.4 mmol/L)

  • loculations on imaging 

Diagnosis and most common cause?

61F with PBC, new ascites + abdominal pain. SBP? Tx?

SBP

  • Patients with ascitic fluid PMN counts >=250 cells/ml should receive empiric antibiotic therapy, e.g., IV third-generation cephalosporin(Class I, Level A)
  • Patients with ascitic fluid PMN <250 cells/mm3 but signs/symptoms of infection (febrile or abdo pain) should receive empiric antibiotics while waiting for cultures. (Class I, Level B)
  • If nosocomial SBP or atypical clinical response to treatment, follow-up paracentesis after 48 hrs of treatment to assess the response in PMN
    count and culture. (Class IIa, Level C)

Text

Bonus points: His albumin is 23, portal hypertension present?

3 Indications for SBP Prophylaxis?

SBP Prophylaxis

  • History of SBP
  • GI Bleed + Cirrhosis
  • Fluid Albumin <15 + CKD/Bad Cirrhosis

 

Norfox or Cipro or Septra

https://www.aasld.org/sites/default/files/guideline_documents/adultascitesenhanced.pdf

42F history of HIV, leaving AMA.  CD4? What is she at risk for?  What prophylaxis?

Primary Prophylaxis

  • CD4< 200: PJP (Septra 1DS Daily)
  • CD4<150: Histoplasma occupational exposure or endemic area for (Itraconzole 200mg Daily)
  • CD4<100: If Toxoplasma IgG+ (Septra 1DS Daily)
  • CD4<50: MAC (Azithromycin 1200mg PO Weekly)

https://aidsinfo.nih.gov/guidelines/html/4/adult-and-adolescent-opportunistic-infection/354/primary-prophylaxis

45M with hx of gout and multiple previous ACL repair, knee red/warm/swollen.

Normal? Inflamm? Septic? Dx/Tx (watch? steroid? ABx? NSAIDS?)

Synovial fluid is usually purulent, with typical leukocyte count of 50,000 to 150,000 cells/mm3 (most of which are neutrophils)

67M homeless, 2-3 week malaise/odd, now decreased LOC, fever, neck rigid, Dx and Tx?

Tube # 2
Appearance clear & colourless
Glucose 1.7 (2.2-3.9)
Protein 500 (200-400)
Tube # 1
Appearance slight pink & clear
Nucleated Cells 400 (0-5)
Erythrocyte 6
Tube 4
Appearance clear & colourless
Nucleated Cells 400 (0-5)
Erythrocytes 1
Neutrophil % 35
Lymptocyte % 65

TB Meningitis

  • Patients with tuberculous meningitis are categorized by stage on presentation, based upon mental status and focal neurologic signs as follows:

    •Stage I patients are lucid with no focal neurologic signs or evidence of hydrocephalus.

    •Stage II patients exhibit lethargy, confusion; they may have mild focal signs, such as cranial nerve palsy or hemiparesis.

    •Stage III represents advanced illness with delirium, stupor, coma, seizures, multiple cranial nerve palsies, and/or dense hemiplegia.

INH (isoniazid) + RMP (Rifampin) + PZA (Pyrazinamide) + EMB (Ethambutol)

Lymphocyte

Predominant

Morning Report

By Atul Jaidka

Morning Report

Diagnostic Rounds 2049

  • 136