My Auris
My Auris will listen, understand and give you the most perfect smile. Read more: https://myauris.vn/boc-rang-su/boc-rang-su-mat-bao-lau.html - https://myauris.vn/boc-rang-su/co-nen-boc-rang-su-cho-tre-em-khong.html
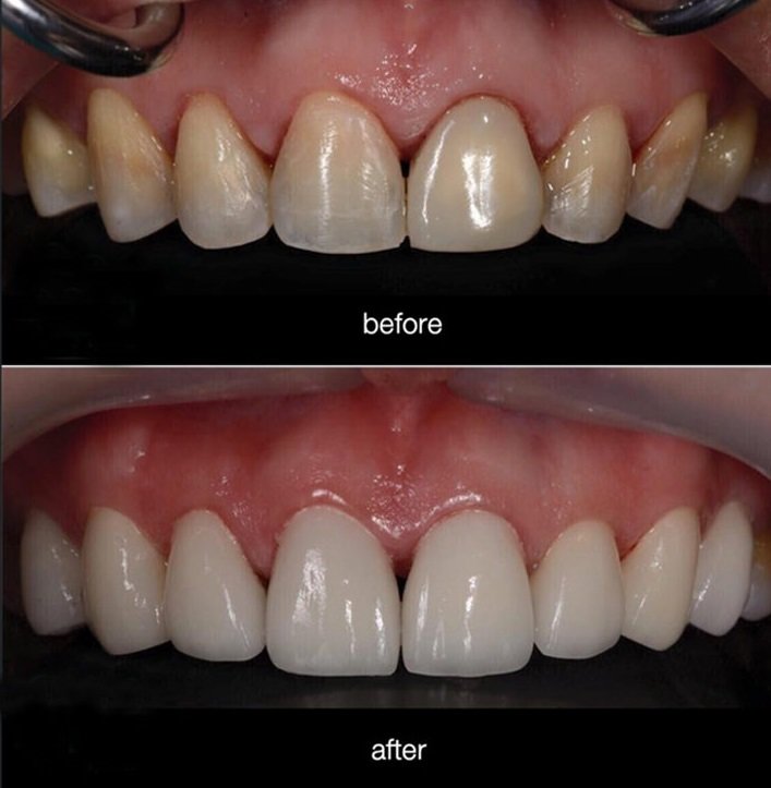
Nếu bạn luôn muốn cải thiện nụ cười của mình, dán sứ veneer có thể là một lựa chọn tốt cho bạn.
Veneers là những lớp vỏ mỏng vừa khít với mặt trước của những chiếc răng hiện có của bạn để cải thiện vẻ ngoài của chúng. Veneers chỉ là một trong số những cách để thay đổi diện mạo của răng.
Liên kết răng và tạo hình men răng là những lựa chọn khác, cũng như mão răng .
Có 2 loại veneers chính: sứ và composite. Như bạn mong đợi từ tên gọi, veneers sứ được làm bằng sứ tùy chỉnh để phù hợp với răng của bạn. Mặt dán composite thường được làm từ một loại nhựa có màu răng, cùng loại vật liệu dùng để dán răng.
Đọc thêm: dán sứ veneer có bền không
Veneer nha khoa có thể che đi những khuyết điểm của răng và mang lại cho bạn nụ cười rạng rỡ, đều màu.
Không hoàn hảo có thể bao gồm răng khấp khểnh hoặc lệch lạc, sứt mẻ, nhiễm màu hoặc đổi màu, hoặc có thể men răng của bạn đã bị ăn mòn .
Veneer che phủ một phần răng của bạn nhưng chúng thực sự khác với mão , nó dày hơn và bao phủ toàn bộ răng - mặt sau và mặt trước. Mão cũng có xu hướng yêu cầu cắt bớt răng nhiều hơn, bạn có thể cần hoặc không cần dùng veneer.
Nếu răng của bạn có hình dạng tương đối tốt và bạn chỉ muốn thay đổi diện mạo của chúng, bao gồm cả hình dạng hoặc màu sắc của chúng, thì veneer có thể là một lựa chọn tốt.
Mão răng thường chỉ được sử dụng cho những răng bị tổn thương nhiều hơn. Ví dụ, nếu bạn bị gãy răng hoặc cần lấy tủy răng , thì mão răng có thể là giải pháp tốt hơn.
Ngày nay, sứ veneer được coi là bền hơn so với quá khứ. Trung bình chúng có thể kéo dài từ 5 đến 7 năm.
Sau đó, bạn sẽ cần một bộ ván mỏng thay thế. Đó là tuổi thọ ngắn hơn đáng kể so với một bộ veneers sứ, có thể kéo dài ít nhất 10 hoặc 15 năm.
Bạn có thể kéo dài tuổi thọ của veneers composite của mình bằng cách chăm sóc chúng tốt.
Thực hiện thói quen đánh răng thường xuyên với kem đánh răng không gây độc và không muốn nhai đá và các vật cứng khác bằng răng cửa của bạn.
Một số nha sĩ cũng khuyên bạn nên để ý đồ uống như cà phê hoặc trà có thể làm ố lớp veneer mới của bạn.
By My Auris
My Auris will listen, understand and give you the most perfect smile. Read more: https://myauris.vn/boc-rang-su/boc-rang-su-mat-bao-lau.html - https://myauris.vn/boc-rang-su/co-nen-boc-rang-su-cho-tre-em-khong.html